An alternate theory for what causes Alzheimer’s disease
Alzheimer's disease, the most common cause of dementia among the elderly, is characterized by plaques and tangles in the brain, with most efforts at...
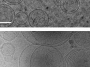
First cells may have emerged because building blocks of proteins stabilized membranes
Life on Earth arose about 4 billion years ago when the first cells formed within a primordial soup of complex, carbon-rich chemical compounds.
These cells...
Glitch in neutron star reveals its hidden secrets
Neutron stars are not only the most dense objects in the Universe, but they rotate very fast and regularly. Until they don't.
Occasionally these neutron stars start...
Methane not released by wind on Mars, experts find
Wind erosion has been ruled out as the primary cause of methane gas release on Mars, Newcastle University academics have shown.
Methane can be produced...
Dyes and viruses create new composite material for photo-oxidation reactions
A recent study, published in Advanced Materials, shows that native viruses can be employed as a scaffold to immobilise photoactive molecules to potentially oxidise organic...
Thinnest optical waveguide channels light within just three layers of atoms
Engineers at the University of California San Diego have developed the thinnest optical device in the world—a waveguide that is three layers of atoms...
Want to predict if your non-violent movement will succeed? Ask Isaac Newton
When Isaac Newton first attempted to describe momentum in his 1687 work Principia, he hit upon an eloquent formula—an object's momentum is its mass...
A single-photon source you can make with household bleach
Quantum computing and quantum cryptography are expected to give much higher capabilities than their classical counterparts. For example, the computation power in a quantum...
Scientists can now control thermal profiles at the nanoscale
At human scale, controlling temperature is a straightforward concept. Turtles sun themselves to keep warm. To cool a pie fresh from the oven, place...
Virtual ‘universe machine’ sheds light on galaxy evolution
How do galaxies such as our Milky Way come into existence? How do they grow and change over time? The science behind galaxy formation...
Researchers prove there are no water molecules between the ions in the selectivity filter...
Do potassium ions pass through the selectivity filter of a potassium channel alone, or are there water molecules between the ions, too? This question...













